Клинический случай
B&B Dental
Установка имплантата с улучшенным смещением в направленной хирургии
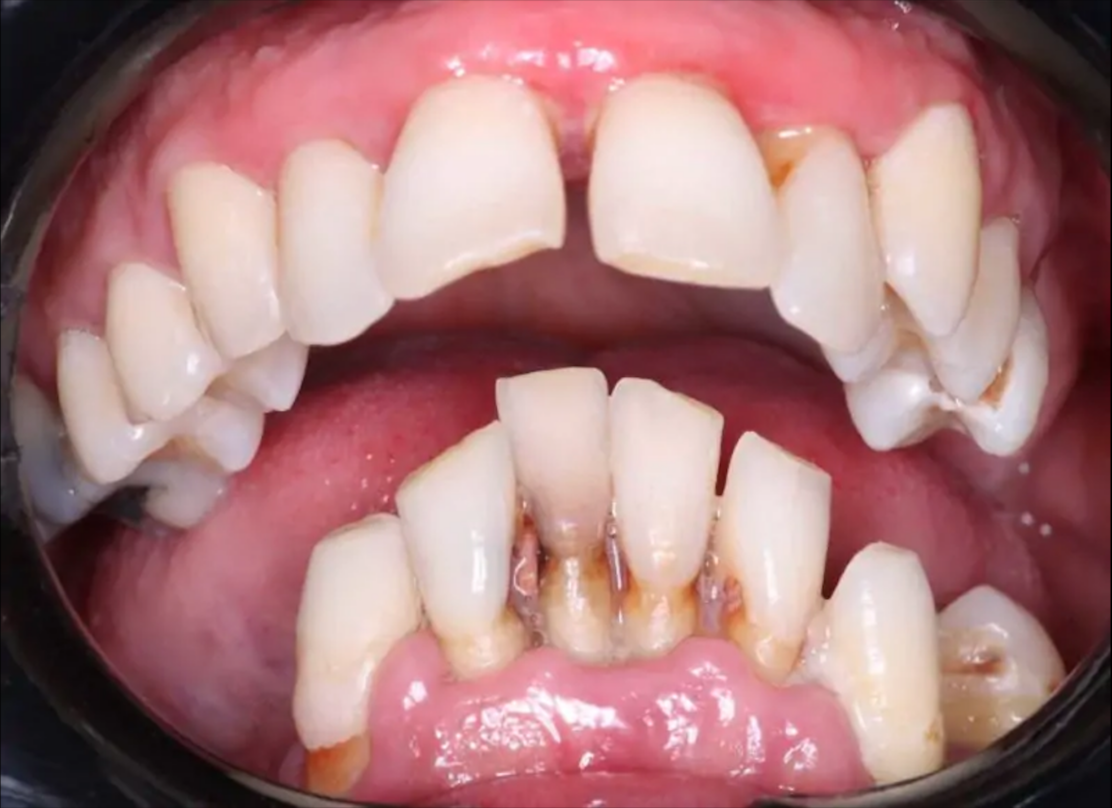
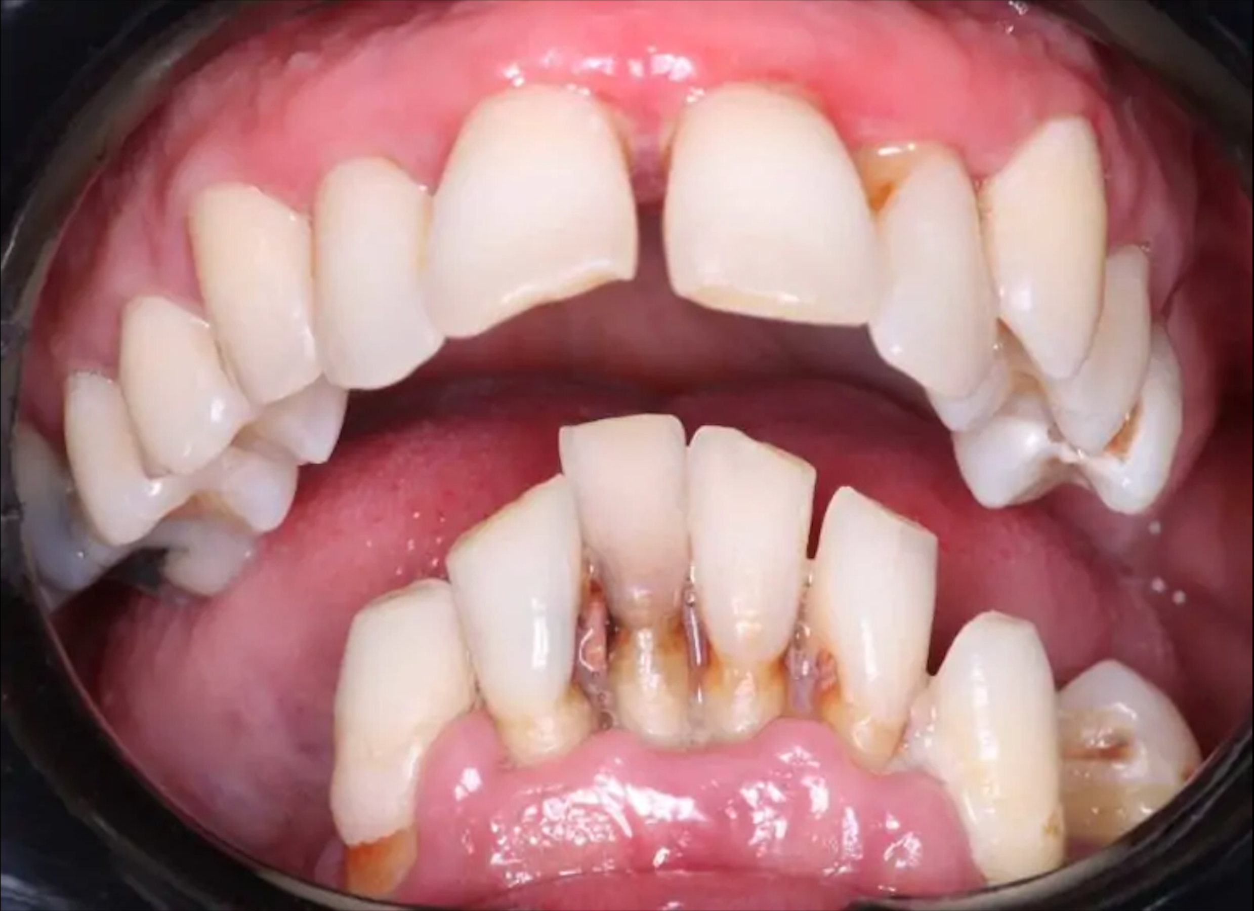
Пациент обратился к стоматологу с жалобами на боль и кровотечение.
При осмотре выявлено выраженное обширное воспаление в полости рта, связанное с подвижностью зубов нижней челюсти третьей степени. Пациент выразил желание полностью устранить боль и восстановить функциональность и эстетику в кратчайшие сроки. С
учётом результатов физикального и инструментального обследования (ОТО) и пожеланий пациента, запланировано нехирургическое пародонтологическое лечение верхней челюсти.

Врач-стоматолог
Челюстно-лицевой хирург, имплантолог
Ход лечения
На нижней челюсти зубы удалены, за исключением клыков, которые сохранены для обеспечения большей стабильности и точности хирургического шаблона. Контекстная установка имплантатов по протоколу «все на четырёх» с полным управлением, безлоскутным методом и немедленной протезной нагрузкой была проведена с использованием протокола, включающего КЛКТ и слепок, на основе которого программируется виртуальное положение имплантатов с обеспечением безопасности относительно важных анатомических структур (нижнеальвеолярного нерва и подбородочного нерва). После оцифровки всех данных мы спланировали положение имплантатов, на основе которого был получен хирургический шаблон с манжетами, расположенными с увеличенным смещением +2 мм (чтобы компенсировать большую высоту мягких тканей). Для установки манжет использовался набор с увеличенным смещением +2 +4, содержащий сверла большей длины, что позволило установить имплантаты диаметром 12 мм.
Имплантаты были установлены безлоскутным методом (дистальные имплантаты EV ø4 длиной 16 мм – мезиальные имплантаты 3P ø3,5 длиной 14 мм) с минимальным моментом вращения 35 Н·м и соединены с угловыми и прямыми моноцитами-макропластиками, на которых затем будет стабилизирован временный полимерный протез.
Продукты для решения задачи
Хотите уметь больше?
Хотите уметь больше?
B&B Dental предлагает комплекс обучающих программ для стоматологов и владельцев стоматологического бизнеса. Благодаря разнообразию семинаров и мастер-классов наша образовательная площадка привлекает врачей-стоматологов разных специальностей и уровня квалификации.
B&B Dental предлагает комплекс обучающих программ для стоматологов и владельцев стоматологического бизнеса. Благодаря разнообразию семинаров и мастер-классов наша образовательная площадка привлекает врачей-стоматологов разных специальностей и уровня квалификации.










