Клинический случай
B&B Dental
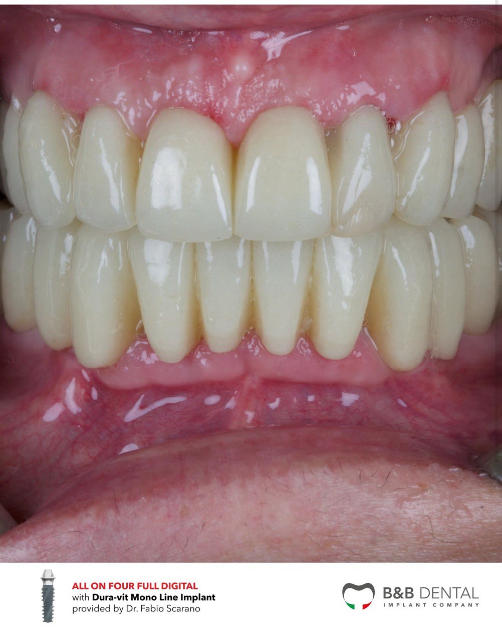
Полная реабилитация челюсти
✅ Установлено 8 имплантатов с крутящим моментом 35 Н/см
✅ Временный многослойный протез на титановых абатментах
✅ Зафиксировано в тот же день с коррекцией окклюзии
🔧 Протезные винты затянуты до 30 Н/см.
📅 Контрольные осмотры через 1 неделю и далее каждые 3 месяца – до момента установления постоянного протеза.
Идеальное сочетание эстетики, функциональности и цифровой точности!
Врач-стоматолог
Ход лечения
✅ Встановлено 8 імплантатів із крутним моментом 35 Н/см
✅ Тимчасовий багатошаровий протез на титанових абатментах
✅ Зафіксовано в той самий день із корекцією оклюзії
🔧 Протезні гвинти затягнуті до 30 Н/см
📅 Контрольні огляди через 1 тиждень і далі кожні 3 місяці — до моменту встановлення постійного протеза.
Ідеальне поєднання естетики, функціональності та цифрової точності!
Хотите уметь больше?
Хотите уметь больше?
B&B Dental предлагает комплекс обучающих программ для стоматологов и владельцев стоматологического бизнеса. Благодаря разнообразию семинаров и мастер-классов наша образовательная площадка привлекает врачей-стоматологов разных специальностей и уровня квалификации.
B&B Dental предлагает комплекс обучающих программ для стоматологов и владельцев стоматологического бизнеса. Благодаря разнообразию семинаров и мастер-классов наша образовательная площадка привлекает врачей-стоматологов разных специальностей и уровня квалификации.











